Pronto un nuovo tentativo di screditare Darwin e la teoria dell’evoluzione
Pronto un nuovo tentativo di screditare Darwin e la teoria dell’evoluzione L’ultimo caso di opposizione…
Pronto un nuovo tentativo di screditare Darwin e la teoria dell’evoluzione L’ultimo caso di opposizione…
Uomo esce dal coma dopo 15 anni grazie alla simolazione cerebrale! In Francia un uomo…
Che cosa accadrebbe se eplodesse una bomba H nel Pacifico? Quale impatto avrebbe, in termini…
Le cellule comunicano con una rete… anche se non per tutti i biologi Secondo alcuni…
Trovati livelli pericolosi di mercurio nelle giovani donne in età fertile di tutto il mondo…
In Italia ci si ammala sempre più di cancro: ecco spiegato il ruolo dell’inquinamento ambientale…
Mortalità mondiale in netto calo, ma aumentano le malattie I tassi di mortalità a livello…
Quale futuro per i cibi OGM? Ricercatori in tutto il mondo stanno sviluppando nuove colture…
Si chiama Porfiria la malattia del sangue che avrebbe fatto nascere il mito dei vampiri…
Tumori in aumento: 369mila nuovi casi nel 2017 in Italia Aumentano i casi di cancro…
L’inchiostro dei tatuaggi è a rischio rilascio nanoparticelle pericolose Gli inchiostri usati per i tatuaggi…
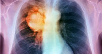
Tumore ai polmoni: dal 2018 arriva un test italiano del sangue per la diagnosi del…
Galileo Galilei, l’italiano che rivoluzionò la scienza, e che spesso viene usato a sproposito La…
Autismo: sviluppato in Italia un rivoluzionario test del sangue per la diagnosi precoce! In Italia…
Creata una penna che identifica il tumore in 10 secondi. È precisa al 96% Svolta…
La corsa del CERN per svelare i segreti dell’antimateria Al CERN di Ginevra, all’ombra del…
Perchè in tanti credono alle bufale e ai complotti? Forse è meglio non divulgarle perchè…
Neuroni ricavati da cellule staminali efficaci contro il Parkinson Nelle scimmie hanno ridotto i sintomi…
Svolta storica contro la leucemia con la prima terapia genica: una sola dose cura la…
Scoperto nei laghi antartici un meccanismo dell’evoluzione dei virus Uno studio condotto nelle acque salmastre…