Le “coincidenze” cosmiche: dal cervello all’universo
La rete cosmica sopra di noi e quella neurale, dentro di noi. Un nuovo studio, nato dalla collaborazione tra un astrofisico e un neurochirurgo italiani e pubblicato sulla rivista Frontiers in Physics, mette a confronto due tra i più enigmatici e complessi sistemi che esistano in natura – la rete delle galassie che compongono l’universo e la rete dei neuroni all’interno del cervello umano – analizzandone somiglianze e differenze in maniera quantitativa.
www.media.inaf.it
Da una parte, enormi filamenti che permeano gli spazi intergalattici, collegando le strutture più dense dell’universo e formando l’infrastruttura cosmica in cui nascono e si evolvono, nel corso di miliardi di anni, galassie, stelle e pianeti. Dall’altra, le reti filamentose di neuroni che costituiscono il cervello umano, in grado di ricevere, elaborare e trasmettere impulsi nervosi, e dare luogo alle complesse funzioni cognitive della mente.

A prima vista, l’organizzazione macroscopica del cosmo e quella microscopica delle reti neuronali appaiono sorprendentemente simili. Ma lo sono davvero? Da questa domanda è sorta un’insolita collaborazione tra Franco Vazza, astrofisico dell’Università di Bologna e associato all’Istituto di radioastronomia dell’Inaf, e Alberto Feletti, neurochirurgo presso l’Università di Verona. I due ricercatori hanno cercato metodi omogenei per analizzare, al contempo e in modo quantitativo, sia la distribuzione su grande scala della materia nell’universo – il cosiddetto cosmic web – che la struttura della corteccia cerebrale e cerebellare (del cervello e del cervelletto, rispettivamente).
I risultati dello studio, pubblicato sulla rivista Frontiers in Physics, mostrano come l’organizzazione dei due sistemi presenti effettivamente delle forti somiglianze strutturali, nonostante l’enorme differenza tra le scale coinvolte, di oltre 27 ordini di grandezza. I due autori presenteranno questo lavoro al pubblico venerdì 27 novembre con un seminario in diretta online nell’ambito della Notte Europea dei Ricercatori.

Ne parliamo con uno dei due autori, Franco Vazza, esperto di simulazioni cosmologiche per lo studio di turbolenza e campi magnetici nell’universo.
Come è nata questa collaborazione tra un astrofisico e un neurochirurgo?
«L’incontro in realtà è nato sui banchi di scuola. Eravamo compagni di banco alle elementari a Vittorio Veneto, in provincia di Treviso, ed essendo una cittadina piuttosto piccola abbiamo proseguito insieme anche alle medie e al liceo. Poi abbiamo preso strade completamente diverse: io l’astrofisica, lui la medicina e le neuroscienze. Vivendo entrambi fuori, ci si incontrava quando tornavamo per le vacanze, per esempio, e si parlava ogni tanto di sovrapposizioni tra i nostri campi di studio.
Si sentiva spesso, nella letteratura non scientifica, che la rete cosmica e la rete neuronale sono simili, ma erano informazioni non quantificate, e quindi ci siamo chiesti se avessimo, noi, gli strumenti per provare a vedere, in maniera molto semplice, se ci sono somiglianze o no. Abbiamo cominciato due, tre anni fa, inizialmente nel tempo libero. Prima abbiamo scritto un articolo divulgativo per la rivista Nautilus, in inglese, e per Le Stelle in italiano, e adesso abbiamo deciso di fare un lavoro peer-reviewed, passando attraverso il vaglio degli esperti».
E dunque, sono davvero simili questi due sistemi?
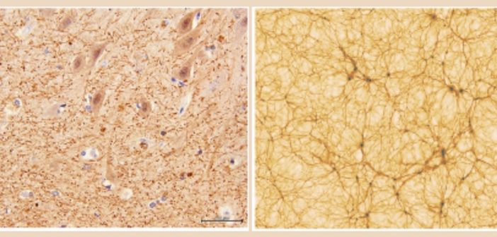
«Questo tipo di confronto comincia perché eravamo colpiti dalle somiglianze visive tra il cosmic web e le sezioni del cervello umano ad una certa risoluzione. A quel punto abbiamo provato a ottenere campioni nel modo più omogeneo possibile – nel caso del cosmic web usando delle simulazioni, nel caso del cervello dei vetrini istologici, che erano già stati prodotti indipendentemente, per normali analisi di laboratorio, presso l’Ospedale di Modena – e abbiamo utilizzato dei metodi, soprattutto presi dalla cosmologia, per analizzare se queste somiglianze visive erano rispecchiate da statistiche più accurate.

Abbiamo trattato questi sistemi come se fossero semplicemente delle reti, senza guardare alle forze e meccanismi molto diversi che le producono. Nel caso del cosmic web abbiamo a che fare solo con la gravità e l’espansione dello spazio-tempo sulle scale considerate (il fatto che si formino le stelle è del tutto irrilevante per l’evoluzione della rete cosmica), mentre nel caso neuronale si tratta di processi biologici mediati da forze elettriche e chimiche. Però se le guardiamo in maniera oggettiva, come se fossero delle reti e basta, troviamo delle somiglianze strutturali che, in una certa sovrapposizione di scale spaziali, sono molto robuste.
Ovviamente, se guardiamo il cervello da fuori, o il cosmic web da fuori, o al contrario se li guardiamo su scale molto piccole, le somiglianze si perdono. Ma quando li guardiamo su un grande range di scale, che nel caso del cosmic web va tra qualche centinaio di milioni di anni luce a qualche milione di anni luce, e nel caso del cervello è sotto i millimetri, e ci chiediamo come si confrontano queste due reti morfologicamente, vediamo che parametri quali il rapporto tra pieni e vuoti, oppure il modo in cui i nodi della rete si interfacciano tra di loro, quante connessioni ha in media ogni neurone o ogni galassia, o ancora quanto spesso queste reti hanno degli hub – ovvero i nodi dominanti che concentrano tutte le connessioni – hanno effettivamente delle somiglianze molto forti».
Le somiglianze nell’organizzazione di questi sistemi, peraltro entrambi dominati per circa il 70 per cento da una componente che in un certo senso si comporta in modo “passivo” – l’energia oscura nel caso del cosmic web, e l’acqua nel caso del cervello – sono davvero impressionanti. Come fate a essere sicuri però che questo non sia un effetto del metodo di analisi?

«Ovviamente abbiamo cominciato ad analizzare questi due sistemi perché sono quelli con cui ci interfacciamo nel nostro lavoro, ma poi abbiamo spostato lo sguardo su altre reti che esistono in natura. Ci chiedevamo se magari qualsiasi rete incontrata in natura, una volta misurata con questi stessi strumenti, potesse darci la la stessa identica risposta. Però non è così. Abbiamo provato a usare delle immagini prese a campione di alberi, di turbolenza nei fluidi, un fenomeno che genera strutture ramificate vagamente simili, oppure della distribuzione di fluttuazioni di densità nelle nuvole, che sono famosi casi in cui ci si aspetta una geometria di tipo frattale. Analizzandole con gli stessi strumenti, abbiamo trovato delle statistiche completamente differenti».
Quali sono invece le differenze che avete trovato tra le reti cosmiche e neuronali?
«Attraverso l’analisi delle reti, quindi studiando il peso che ha ogni nodo nella rete, abbiamo visto che queste due reti non sono delle reti random, e dal punto di vista strutturale sono molto simili quando le guardiamo in un certo range di scale. Le differenze invece cominciano quando ci chiediamo cosa fanno queste reti, in base a quello che noi capiamo. Nel caso del cosmic web, la rete organizza il flusso di materia ed energia; nel caso della rete neuronale, organizza il flusso di energia. Dentro questi flussi c’è uno scambio di informazioni, e quindi possiamo quantificare quante informazioni le due reti possono codificare: la loro capacità di memoria. Nell’universo, per esempio, se usassimo ogni galassia e la sua posizione in 3D per registrare un’informazione – questi sono altri lavori che ho fatto indipendentemente in passato – viene fuori che la quantità di informazioni che l’intero cosmic web osservabile può contenere, parliamo di circa 45 miliardi di anni luce, è di circa 4 petabyte e mezzo.
È un’estrapolazione davvero estrema, ma curiosamente dentro un fattore 2 questa è la stessa capacità di memoria che è stata stimata, con metodi completamente diversi da esperti del settore, per il cervello umano: circa 2 petabyte. In modo un po’ poetico, potremmo dire che tutto il cervello umano – se lo usassimo come se fosse una macchina – potrebbe memorizzare tutte le posizioni di tutte le galassie dell’universo osservabile, o viceversa: se noi potessimo usare la rete cosmica per memorizzare informazioni, basterebbe per memorizzare la quantità di informazioni di un cervello umano. Non dieci, non infiniti, ma uno. Chiaramente l’universo contiene tante cose – stelle, pianeti, e tutti i cervelli che sono dentro l’universo – quindi la capacità di informazione di per sé è molto ma molto più grande, ma in questo esempio trattiamo il cosmic web come se fosse un oggetto che esiste solo su questo range di scale, e ogni singola galassia come se fosse un singolo nodo della rete.

Ammesso che questi due sistemi possano contenere la stessa quantità di informazioni circa, quello che cambia drasticamente è che il cervello umano può processare tutta questa informazione in tempi molto brevi – frazioni di secondo. Non è detto che il cervello lo faccia, ma potrebbe, perché i segnali nel cervello umano si propagano alla velocità con cui i segnali elettrici possono percorrere gli assoni e i dendriti (prolungamenti dei neuroni, che conducono i segnali verso altre cellule – n.d.r.).
Nel caso del cosmic web, invece, tutta questa informazione può essere stata scambiata al massimo due, tre volte dall’inizio dell’universo perché lo scambio di informazione è vincolato al tempo impiegato dalla luce, o dalla gravità, per propagarsi sulle distanze cosmiche. Quindi anche se la quantità di memoria è la stessa, uno dei due sistemi – il cervello – si evolve in maniera estremamente più veloce, dove estremamente significa molti ordini di grandezza, mentre l’informazione contenuta nella rete del cosmic web – la posizione delle galassie – non si è evoluta molto, è sempre all’incirca la stessa dall’inizio dei tempi. In una simulazione cosmologica, la posizione dei filamenti delle galassie rimane quasi inalterata sulla scala di miliardi di anni luce, poi le galassie al loro interno evolvono, ma la distribuzione tridimensionale dell’universo resta sempre la stessa, mentre la connettività dei neuroni evolve su scale molto più piccole».
Qual è stata la parte più difficile nel mettere a confronto due sistemi e campi di studio così lontani?
«In questo caso è stata difficile la parte di peer review dell’articolo. Le somiglianze vengono fuori quasi automaticamente, poi si tratta di convincere se stessi e i referee esterni che, all’interno delle assunzioni comunque forti che si fanno, queste sono effettivamente vere. Ci abbiamo messo circa dieci mesi, con una decina di referee report a tre referee diversi, perché è proprio difficile trovare un modo di descrivere queste cose che vada bene sia per un cosmologo che per un neuroscienziato. Quindi la sfida è stata trovare dei modi di presentare i dati in comune, trovare un linguaggio che non fosse troppo specialistico per entrambe le cose, cercare di mostrare che qualcosa che è nuovo per una delle due discipline è stato già fatto e validato nell’altra, o viceversa, convincere i referee che, anche se esistono metodi più sofisticati per studiare uno dei due sistemi, non possono essere applicati all’altro.
C’è anche una componente umana: noi non vogliamo a tutti i costi dire che i due sistemi sono uguali, ma vogliamo avere un approccio omogeneo che ci permetta di analizzarli entrambi. È stato un processo lungo – peraltro in un periodo non banale, con l’emergenza causata dalla pandemia, che per me ha rappresentato impegni familiari aggiuntivi, e soprattutto per il mio co-autore ha coinciso con il periodo di massimo lavoro e pressione sull’Ospedale di Verona nel quale opera».
L’articolo è stato pubblicato su Frontiers in Physics, che non è una delle riviste tipiche per pubblicazioni di astrofisica. Come l’avete selezionata?
«È la prima volta che usiamo questa rivista. Avevamo bisogno di una rivista “referata” con una sezione interdisciplinare, che potesse garantire dei referee sia di astrofisica che di neuroscienze, che è qualcosa che le riviste di astrofisica non fanno. Frontiers in Physics era una delle poche a farlo, e hanno fatto un ottimo lavoro editoriale e di raccordo con i referee anonimi».
Qual è il messaggio che volete trasmettere con questo lavoro alle due rispettive comunità scientifiche?
«Presi singolarmente, l’articolo non dice niente di nuovo né per quanto riguarda il cosmic web né il cervello umano. Anzi, abbiamo usato degli strumenti superficiali, perché l’approccio è stato trovare strumenti per analizzare in maniera omogenea entrambi i sistemi. Quello che speriamo di riuscire a comunicare è che esiste una letteratura smisurata di analisi delle reti che si fa in certi ambienti e in altri non si fa, che può invece essere condivisa e dalla quale è possibile trarre profitto».

Lei ha imparato qualcosa di nuovo grazie a questo studio?
«Sì, per esempio: per cercare di capire come analizzare in maniera molto semplice la rete neuronale con i dati che avevo, ho imparato che ci sono delle tecniche che adesso posso usare tranquillamente nelle mie simulazioni cosmologiche per analizzare la connettività. Ho già alcune idee per applicare alcune cornici teoriche, che prima non conoscevo e che ho scoperto tramite questo lavoro, per descrivere fenomeni cosmologici con un linguaggio nuovo, quello delle reti e dei nodi che si parlano tra di loro. Capire come si organizzano i campi magnetici nel cosmic web, per esempio, che è il pilastro del progetto Magcow che l’Unione Europea, tramite uno Starting Grant, mi ha finanziato per 5 anni, ha molto a che fare col capire come ogni struttura si parla con quelle vicine, il che con una dose di astrazione non è molto diverso dal capire perché alcuni neuroni parlano di più con i neuroni che hanno vicino e altri di meno.
Più in generale, questo è un primo lavoro e sarei felice se venisse ripetuto da tanti altri anche in modo più sofisticato. La cosa interessante è che, nel caso di queste due reti e di altre reti complesse in natura, anche se le interazioni avvengono tramite leggi fisiche completamente diverse, è possibile che la rete nel suo complesso evolva in base alle stesse logiche. Per esempio, se voglio trasmettere delle informazioni da un punto all’altro della rete, potrebbe essere più economico farlo attraverso degli hub, delle strutture dominanti rispetto ad altre.
È un argomento molto delicato, confrontare cosmic web e cervello, ma anche se i meccanismi e le componenti di materia sono completamente diverse, potrebbe esserci una logica di base simile. Un esempio non troppo dissimile viene dallo studio della turbolenza: la fisica che spiega come si mescola il latte con il caffè in modo turbolento quando agito il cucchiaino e la fisica che mi dice cosa succede quando il plasma in due ammassi di galassie si mescola è esattamente la stessa. L’ha descritta Kolmogorov, un matematico russo, quasi ottanta anni fa. Sono interazioni diverse, componenti diverse, però la “logica” di un fluido, di come il fluido evolve e trasmette l’energia da una scala all’altra, dalla più grande alla più piccola, è la stessa. Il caso della turbolenza ha una storia di ottanta anni e più, mentre quello delle reti è molto più giovane, ma chi studia le reti – anche umane, di telecomunicazione o di interazione sociale – ha una letteratura smisurata e una capacità di raccogliere informazioni molto più potente della nostra, e potrebbe essere che anche le reti naturali evolvano con logiche simili. Rendersi conto che, anche con 27 ordini di grandezza di differenza, la rete più grande che esista in natura e la rete complessa più piccola che conosciamo si somiglino così tanto può stimolare un settore, quello dell’analisi delle reti, che comunque è già in forte espansione.
Ci tengo a sottolineare che non stiamo dicendo in alcun modo che l’universo sia un cervello o un’entità pensante, né che dentro di noi ci sia l’universo – nulla di questo genere. Stiamo solo dicendo che le reti naturali, usando l’approccio più riduzionista possibile, sembrano evolversi con logiche di scala molto simili, pur basandosi su leggi fisiche molto diverse. A me come astrofisico, trovandomi a trattare i nodi identificati dall’algoritmo per calcolare le proprietà della reti, ha affascinato molto pensare come da questi nodi, che in qualche modo, nel cervello di tutti, sono una moltitudine di oggetti distinti (come sono distinte le singole galassie nell’universo) collegati attraverso questa rete, possa emergere – nel senso fisico del termine, emergence – una cosa più o meno unica che noi chiamiamo coscienza, che però non si può identificare in un singolo neurone. È un mistero che mi affascina parecchio».